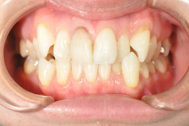
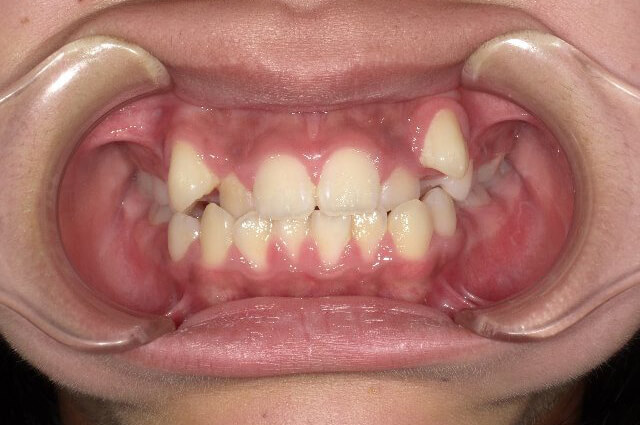
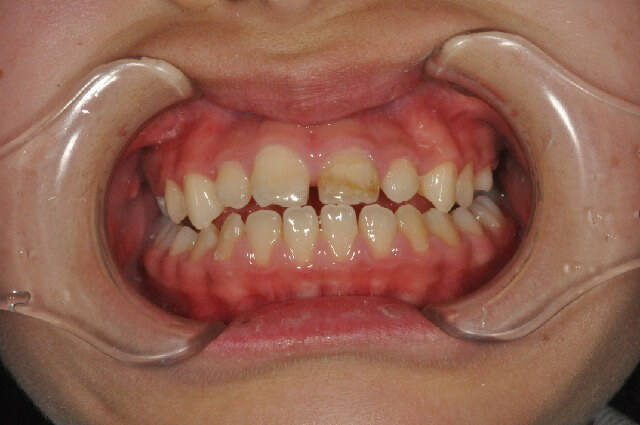
BEFORE |
![]() |
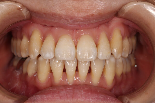
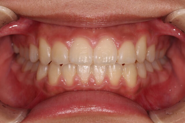
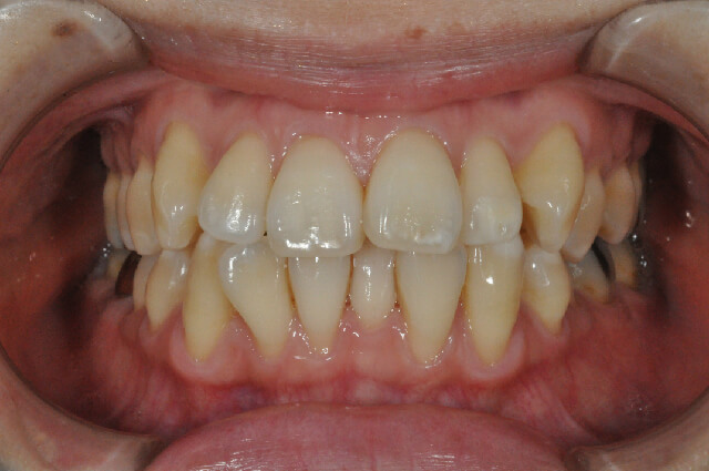
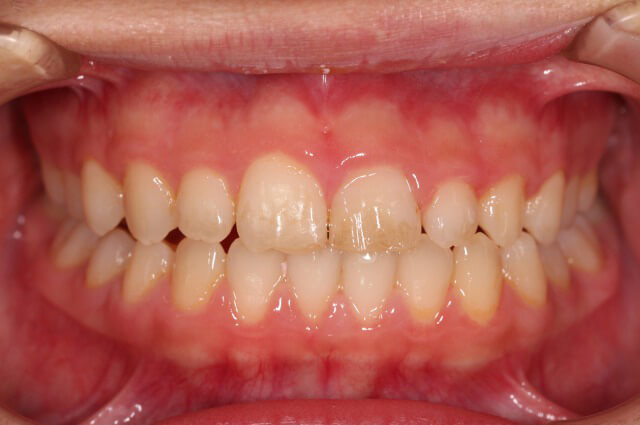
AFTER |








![]() でこぼこした歯並び |
![]() すきっ歯 |
![]() 上の歯が出ている(出っ歯) |
![]() 上下の歯が被っている・八重歯 |
![]() オープンバイト(開咬) |
![]() 受け口(反対咬合) |


金属の矯正装置の場合、歯を見せることを気にしてしまい、笑うことまでためらってしまう方もいます。しかし、透明な医療用プラスチック製のインビザラインは、装着してもほとんど目立ちません。よって、治療中であることを他人に気づかれる心配もなく、話すときや笑う時も口元を気にすることはありません。

インビザラインは、患者様自身で取り外しが可能。普段どおりに歯磨きやフロス(糸ようじ)での歯間洗浄を行えます。また、取り外したマウスピースを洗うこともできます。だから、歯、装置ともに清潔感を保ち、衛生面でも何も問題ありません。

金属の矯正器具では、器具に食べ物が挟まってしまいます。せっかくおいしい食事をしても食べカスのせいで見た目が悪くなったり、食べカスが挟まってなんだか嫌な気持ちになるのはつらいですよね…。インビザラインはお食事の際に取り外しができるのもポイント。治療前と変わらぬ食事ができます。

金属の矯正器具では装着時に口内が傷き出血を伴うこともしばしば。インビザラインはマウスピースの装着時、最初は締めつけられる感覚があるものの、数時間後にはお口になじみます。金属の矯正器具のように、ワイヤーが口内の粘膜や舌に当たって出血したり、ブラケットが外れるといったトラブルもありません。

従来の裏側矯正装置では、独特の厚みやデコボコがあり、しゃべりづらいことがあります。ところが、薄さ約0.5mmと薄いインビザラインだと快適におしゃべりできます。

プラスチック製のインビザラインは金属を一切使用していません。
金属アレルギーの方でも安心して治療していただけます。

治療前にパソコン画面上で、治療後の歯並びや、治療中の歯の移動状態などを3Dの動画や画像で確認できるのも特徴です。矯正後のイメージがしやすいので、患者様の治療へのモチベーションが上がります。

インビザラインは約2週間に一度、自宅で交換できるので、通院回数が少なくて済みます。
仕事や学校で忙しく、歯科医院に頻繁に通えない方にもピッタリです。

画期的なマウスピース型装置のインビザラインは世界中から支持されています。すでに世界80以上の国々で340万人を超える方々が矯正治療を受けました。※
※インビザライン公式サイトより引用


インビザラインは金属の矯正器具に比べると、目立ちにくさや快適さの面でこんなに違います!


当診療所では世界最新式のレーザーホワイトニングを使用しています。通常のホワイトニングで、マウスピースを用いるものは治療に数週間かかります。また、通常のオフィスホワイトニングでも治療に数時間かかります。しかし当診療所のスピードホワイトニング用の世界最新のレーザーでは、1~2分でホワイトニングが完了します。短時間でおこなえますので、個々の歯の色が違う方でもオーダーメイドで歯に合わせてホワイトニングすることが可能です。
今だけ、インビザライン治療を受けた方全員にこの最新レーザー式ホワイトニング(1万円相当)をもれなくプレゼントいたします。


当院は「矯正専門医」が治療を行っております。そのため、普通にインビザライン矯正を行うだけの治療と異なり、最新の補助装置などを適宜使用しています。
また、矯正専門医が患者様の歯並びを的確に診断いたしますので、精度の高い治療が可能です。ワンランク上のインビザライン矯正を、ぜひお試しください。

通常、インビザライン矯正は治療開始から完了までに、1年半~2年弱かかると言われています。他の矯正法に比べれば治療期間は短いのですが、当院ではさらに短い期間でのスピード矯正を実践。
「出っ歯」の方専用の補助装置などを駆使することで、短期間で歯の遠心移動が行われ、治療期間を約6カ月も短縮することができます。個人差はありますが、1年以内~1年強で治療を完了します。

通常のインビザライン矯正では「出っ歯」や「開咬」(口を閉じても前歯が噛み合わず隙間が生まれる状態)といった困難な症例に対し、確実な結果を得られないケースもあります。しかし当院では「出っ歯」の方専用の補助装置、「開咬」の方専用の補助装置などをインビザライン装着の約3か月前から使用。すると、歯が持つ本来の機能が引き出され、時間短縮だけでなく、さらに精度の高い治療が可能です。

当院のインビザラインは口腔内光学スキャナ「セレックオルソ」を使用してインビザラインを作成しています。
口腔内光学スキャナ「セレックオルソ」とは?
![]() |
![]() |
| 従来 | セレックオルソによる型取り |
セレックオルソを使用した型取りでは、従来の印象材(粘土のようなもの)を使用しないだけでなく、歯に粉のようなものを吹き付けることもありません。お口の中を特殊な3Dビデオカメラのようなもので撮影するだけです。
そのため、通常の型取りに比べて患者様が大きくお口を開けることも、苦しい思いをされることもなく、スムーズかつ正確に矯正装置が出来上がります。
インビザラインの装置も、通常より早く製作できるため早く治療が開始できます。その結果トータルの矯正治療期間が短縮できます。当院では、他の医院ではほとんど導入されていないセレックオルソで快適な矯正治療を始められます。

BEFORE |
AFTER |
BEFORE |
AFTER |
BEFORE |
AFTER |

男性とお付き合いするときにも自信が持てませんでした
私は昔から歯並びが悪いことがコンプレックスで、男性とお付き合いするときもなかなか自分に自信が持てませんでした。そんな中、私の周りでは結婚をする人が増え始めて、当時交際をしていなかった私は周りの人がうらやましかったのを覚えています。
人に気づかれないインビザラインを知り、矯正を決意
このままじゃいけないと思い切って矯正をしようと決めたのはインビザラインという透明な歯科矯正装置があり、人に気付かれないで歯を矯正できることを知ったからです。
歯並びをきれいにして頂き、感謝しています
ただ、さすがに値段が高いだろうな…と思っていただのですが、私でものなんとかできる額で治療が終わった今「もし、あの時、矯正治療をしていなかったら自分はどうなっていたんだろう」と不思議な気持ちになります。歯並びを綺麗にして頂いた先生、スタッフの皆さんに心から感謝しています

結婚式のために矯正を考えました
結婚式のために歯科矯正を考えました。
矯正機関について調べてみると、式まで思ったよりも時間がなかったので、慌てて歯医者さんを探しました。そして見つけたのが岐阜駅前歯科クリニック・矯正歯科さんです。
治療期間が短く、精度も高いということで矯正を決意
特殊なシュミレーションをすることで、治療期間を半分くらいまで短くすることができて、しかも確実に矯正してくださるということだったので矯正をお願いしました。
1番笑顔の写真を撮ることができ、最高の結婚式になりました
矯正装置は取り外しは簡単にできるので食事のときも邪魔にならないし、透明なので見た目も気にせず過ごすことができて、今までの矯正に対するイメージがガラリと変わりました。
おかげさまで結婚式の写真も、今までで1番の笑顔で撮ることができて、最高の結婚式になりました。友達にもおすすめしようと思います。

歯並びに自信が持てないことが営業の仕事に影響していました
私は営業の仕事をしているのですが、歯並びに自信が持てないことが自分の仕事にも少なからず影響していました。
仕事中でもデート中でもつけられ、治療期間も短いことに大満足
「矯正しよう」と思っていても、金属の矯正をしている間は、かえって相手に与える印象がマイナスになってしまうので、どうしたものかと悩んでいましたが、この度、インビザラインのことを知って、矯正に踏みきることができました。
インビザラインは透明なので、仕事中に付けていても支障がなく、デートをするときでさえも付けていられました。しかも、普通の矯正よりも治療期間が短く、金額もリーズナブルだったので大満足です。
人と接するときに歯並びで悩むことがなくなりました
先生やスタッフの皆さんも、私の不安に丁寧にご対応してくださり、安心して治療をお願いできました。今は歯並びがすごく良くなって、人と接するときに自分の歯並びで悩むことがなくなりました。おかげさまで、自分の笑顔に自信を持つことができて、毎日明るく楽しく過ごせています。ありがとうございました。



当診療所では世界最新式のレーザーホワイトニングを使用しています。通常のホワイトニングで、マウスピースを用いるものは治療に数週間かかります。また、通常のオフィスホワイトニングでも治療に数時間かかります。しかし当診療所のスピードホワイトニング用の世界最新のレーザーでは、1~2分でホワイトニングが完了します。短時間でおこなえますので、個々の歯の色が違う方でもオーダーメイドで歯に合わせてホワイトニングすることが可能です。
今だけ、インビザライン治療を受けた方全員にこの最新レーザー式ホワイトニング(1万円相当)をもれなくプレゼントいたします。


※1 分割における手数料、利息などはお客様負担となりますのでご了承ください。
※2 デンタルローンをご使用の方に限ります
インビザラインの治療費は、医療費控除の対象にすることが可能です。
1年間で一家族200万まで所得に応じて控除を受けられます。こちらを申請すれば1割弱くらい税金が返ってくるので、実質的に治療費を減らすことができます。
医療費控除とは
確定申告で医療費控除の申請をすることで支払った金額の一部が戻ってきます。
インビザライン治療を行った場合には忘れずに確定申告で医療費控除の申請手続きをしましょう。詳しくは来院時、当院スタッフまでお気軽にお尋ねください。

| STEP-01 | ![]() |
矯正相談(無料) 担当医が悩みや不安をお聞きしたり、治療期間、費用などについてご説明したりします。 |
| STEP-02 | ![]() |
精密検査 インビザライン矯正治療をするために、口腔内検査や歯型の取得などを行います。 |
| STEP-03 | ![]() |
診断結果・治療計画の説明 診断結果、治療計画についてご説明します。 矯正をご希望の場合は契約書にサインをして頂きます。 |
| STEP-04 | ![]() |
インビザライン治療開始 患者さん専用のインビザラインを発注します。 (インビザラインは3週間程度で届きます) |
| STEP-05 | ![]() |
治療期間 インビザラインが届いたら、歯に装着します。治療中は2週に1度のペースでマウスピースを交換していきます。シミュレーションを利用することで、治療期間を40%程度短縮することができます。 |
| STEP-06 | ![]() |
最終ステージ 最後のインビザラインセットが完了したら、医院にて矯正医が最終的なかみ合わせをチェックします。 |
| STEP-07 | ![]() |
メンテナンス 3~6ヶ月ごとに通院して、歯並びのチェックをします。 特に問題がなければ、「リテーナー」という固定装置を使って、矯正した歯をしっかりと固定します。 |

『「質」と「早さ」が備わった一石二鳥のインビザラインをぜひ体感してください。』


伺った初日は相談だけですか?また、時間はどのぐらいかかりますか?
来院初日は、無料相談の後、口の中の写真を撮ってそれについて説明をします。所要時間は30分~40分です。
|
出っ歯も治りますか?
はい、治すことができます。一般的なインビザラインの場合は上手く治らない症例もありますが、当院では、事前に3Dシミュレーションを行うことにより、確実に出っ歯を治すことが可能となっております。
|
治療中の食事に制限はありますか?
食事中はマウスピースを外すので、食事に制限はありません。ただ、食後には必ず歯を磨きましょう。
|
マウスピースを装着すると話しづらいですか?
人によっては話しづらいと感じる人もまれにいますが、次第に慣れていくようです。
|
インビザライン治療に痛みはありますか?
最初のうちは圧迫感を感じることがございますが、数時間でなくなります。
|
未成年でもインビザライン治療が受けれますか?
はい、10代の方であれば未成年でも治療を受けることができます。
|
マウスピースをなくした場合は、どうしたらよいですか?
ドクターに相談してください。ドクターの判断によって、1ステージ前のマウスピースを使うか、次のステージのマウスピースを使うことになります。
|
分割払いはできますか?
はい、分割払いも可能です。その場合は、ドクターまたはスタッフにお伝えください。
女性のドクターはいますか?
はい、在籍しています。女性の悩みもご相談頂けます。
|


当診療所では世界最新式のレーザーホワイトニングを使用しています。通常のホワイトニングで、マウスピースを用いるものは治療に数週間かかります。また、通常のオフィスホワイトニングでも治療に数時間かかります。しかし当診療所のスピードホワイトニング用の世界最新のレーザーでは、1~2分でホワイトニングが完了します。短時間でおこなえますので、個々の歯の色が違う方でもオーダーメイドで歯に合わせてホワイトニングすることが可能です。
今だけ、インビザライン治療を受けた方全員にこの最新レーザー式ホワイトニング(1万円相当)をもれなくプレゼントいたします。